• Comportement du chien et
    du chat
  • Celui qui connait vraiment les animaux est par là même capable de comprendre pleinement le caractère unique de l'homme
    • Konrad Lorenz
  • Biologie, neurosciences et
    sciences en général
  •  Le but des sciences n'est pas d'ouvrir une porte à la sagesse infinie,
    mais de poser une limite à l'erreur infinie
    • La vie de Galilée de Bertold Brecht

Neurophysiologie : synapse
Terminaisons présynaptiques
Synucléines : interactions et fonctions

Sommaire
définition

Les synucléines, principalement exprimées au niveau des terminaisons présynaptiques, régulent le trafic de vésicules synaptiques et la libération ultérieure des neurotransmetteurs, mais aussi, jouent un rôle majeur dans les maladies neurodégénératives.

Fonctions physiologiques des synucléines

pas bien

Bien que son rôle ait été impliqué dans presque toutes les étapes du cycle des vésicules synaptiques (VS), le rôle physiologique précis de l'α-synucléine dans la physiologie synaptique reste insaisissable (Alpha-Synuclein Function and Dysfunction on Cellular Membranes 2014).

a. Les rôles exacts physiologiques et pathologiques de l'α-synucléine sont encore ambigus, loin d'être compris et doivent encore être clarifiés.

b. De plus, ses déficiences dans l'exocytose, l'endocytose et le recyclage des vésicules peuvent sous-tendre une voie pathogène génétique commune, par son gène SNCA, avec d'autres gènes à risque lors de maladie de Parkinson (PD), i.e. la synaptotagmine 11 (Syt11), la parkine, LRRK2, DJ-1, la synaptojanine 1 et TMEM230 (Crosstalk between presynaptic trafficking and autophagy in Parkinson's disease 2018).

Vue d'ensemble

Rôles possibles de l’α-synucléine dans l’exocytose et l’endocytose
Rôles possibles de l’α-synucléine dans l’exocytose et l’endocytose
(Figure : vetopsy.fr d'après Huang et coll)

Les rôles de l'α-syn dans l'exocytose et l'endocytose vésiculaire seraient multiples (α-Synuclein: A Multifunctional Player in Exocytosis, Endocytosis, and Vesicle Recycling 2019).

Interactions avec la machinerie

La fusion de la membrane dépendante du complexe SNARE est essentielle pour la libération de neurotransmetteur au niveau de la synapse.

Structure de l'α-synucléine
Structure de l'α-synucléine
(Figure : vetopsy.fr d'après Marvin 101)
  • Le complexe SNARE seul est inefficace pour la dilatation des pores de fusion.
  • Or, les oligomères d'α-synucléine mal repliés sont de puissants inhibiteurs de fusion.

1. L'α-synucléine, par sa région acide C-terminale, interagit avec VAMP2/synaptobrévine 2, v-SNARE, (v pour vésiculaire), en particulier les VAMP, qui sont des R-SNARE (α-Synuclein Promotes SNARE-Complex Assembly in Vivo and in Vitro 2010).

2. L'α-synucléine, par sa région acide N-terminale amphipathique, se lie aux lipides membranaires chargés négativement (The Membrane Interaction of Alpha-Synuclein 2021).

Implications

1. L'interaction α-synucléine/Vamp2 pourrait être impliquée dans le regroupement des vésicules synaptiques car elles peuvent (Functional cooperation of α-synuclein and VAMP2 in synaptic vesicle recycling 2019) :

Remarque : pour ce qui est du regroupement de VS, l'excès d'α-synucléine perturbe la cinétique de formation des condensats synapsine/VS, ce qui indique que le rapport molaire entre la synapsine et l'α-synucléine est important dans leur assemblage (loupeinteraction synapsine/α-synucléine).

2. L'interaction α-synucléine/Vamp2 amarrerait (docking) les VS à la membrane (Alpha-Synuclein Continues to Enhance SNARE-Dependent Vesicle Docking at Exorbitant Concentrations 2019),

Par contre, la formation de grands oligomères d'α-synucléine inhiberait la fusion vésiculaire par sa liaison à Vamp2, ce qui le rend indisponible pour la formation des complexes SNARE (Large α-synuclein oligomers inhibit neuronal SNARE-mediated vesicle docking 2013).

Rôles possibles de l’α-synucléine dans le regroupement et l'amarrage des VS
Rôles possibles de l’α-synucléine dans le regroupement et l'amarrage des VS
(Figure : vetopsy.fr d'après Dia et coll et Huang et coll)

3. L'α-synucléine augmente considérablement la probabilité ainsi que la durée de vie des grands pores (α-Synuclein promotes dilation of the exocytotic fusion pore 2017 et Membrane Binding of α-Synuclein Stimulates Expansion of SNARE-Dependent Fusion Pore 2021).

a. Lors de la troncature de l'extrémité C-terminale qui interagit avec le complexe SNARE, le mutant se comporte de la même manière que le type sauvage.

Cependant, les mutants à double proline compromettant la liaison à la membrane montrent des effets significativement réduits sur l'expansion des pores de fusion.

b. L'α-synucléine stimule l'expansion des pores de fusion spécifiquement par sa liaison membranaire.

Rôle possible de l’α-synucléine dans l'élargissement des pores de fusion
Rôle possible de l’α-synucléine dans l'élargissement des pores de fusion
(Figure : vetopsy.fr d'après Khoulo et coll)

Fonctions pathologiques des synucléines

Les mutations de l'α-synucléine sont associées à :

  • la maladie de Parkinson,
  • la maladie (ou démence) à corps de Lewy,
  • d'autres maladies neurodégénératives.
bien

Ces maladies neurodégénératives sont groupées sous le nom d'α-synucléinopathies (A biological definition of neuronal α-synuclein disease: towards an integrated staging system for research 2024).

Maladie de Parkinson

1. Les preuves neuropathologiques et expérimentales suggèrent que le transfert de cellule à cellule de l'α-synucléine a un rôle important dans la pathogenèse de la maladie de Parkinson (An integrated genomic approach to dissect the genetic landscape regulating the cell-to-cell transfer of α-synuclein 2021)

Gènes identifiés dans le transfert de l'α-synucléine
Gènes identifiés dans le transfert de l'α-synucléine
(Figure : vetopsy.fr d'après Kara et coll)

38 gènes régulent le transfert de cellule à cellule de l'α-synucléine, dont ITGA8, un gène candidat identifié par une récente étude d'association à l'échelle du génome PD (GWAS).

2. L'hypothèse " prionoïde " a probablement un rôle important dans la pathogenèse de la PD (The Transcellular Spread of Cytosolic Amyloids, Prions, and Prionoids 2009).

  • Cette hypothèse montre que des protéines intracellulaires sont non seulement sujettes à l'agrégation pathologique, mais peuvent également être libérées et " infecter " les cellules voisines.
  • De nombreuses maladies complexes peuvent obéir à un modèle simple de propagation où la pénétration de " grains " ou de " graines ", i.e. seed en anglais, d'ARN ou de protéines dans les hôtes, détermine la propagation spatiale et la progression de la maladie, i.e. ensemencement (seeding model).
  • Les protéines sont appelées " prionoïdes ", car elles semblent infecter leurs voisins, comme les prions.
Transfert des amyloïdes suivant l'hypothèse prionoïde
Transfert des amyloïdes suivant l'hypothèse prionoïde
(Figure : vetopsy.fr d'après Aguzzi et coll)

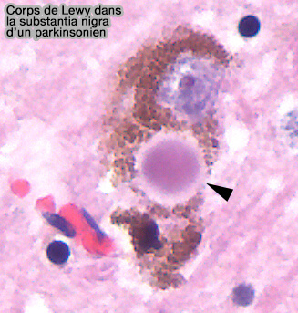
Maladie (ou démence) à corps de Lewy

La maladie (ou démence) à corps de Lewy (DLB) est la seconde démence neurodégénérative la plus fréquente après la maladie d’Alzheimer.

Corps de Lewy
Corps de Lewy
(Figure : vetopsy.fr d'après Tulemo)

Cette maladie emprunte certains symptômes à la maladie d’Alzheimer et à la maladie de Parkinson (Dementia with Lewy bodies).

1. Les corps de Lewy sont des inclusions cytoplasmiques d'α-synucléine mal repliée dans les neurones cérébraux qui sont proches des classiques corps de Lewy retrouvés dans les neurones sous-corticaux de la maladie de Parkinson (Lewy bodies 2006).

2. L'αSYN pathogène semble associée à la membrane des mitochondries (Pathogenic alpha-synuclein aggregates preferentially bind to mitochondria and affect cellular respiration 2019).

Contrairement aux αSYN physiologiques, les agrégats d'αSYN pathogènes se lient préférentiellement aux mitochondries, indiquant un dysfonctionnement mitochondrial comme mécanisme en aval commun pour les α-synucléinopathies.

Modèle de formation des corps de Lewy
Modèle de formation des corps de Lewy
(Figure : vetopsy.fr d'après Wang et coll)